

MUDr. Vladimír Štaffa
Co tvrdí metoda SM-systém a proč to zní lákavě
- Metoda SM (spirální stabilizace) pracuje s konceptem spirálních svalových řetězců, natahováním páteře, „vytahováním“ těla a korekcí držení.
- Říká se, že aktivní „vytahování“ umožní meziobratlovou ploténku „zvednout“ a uvolnit tlak.
- Z klinické praxe bývají uváděny zlepšení držení, úleva od bolesti, pocit „protažení“. Tyto zkušenosti nelze ignorovat, ale nestačí jako důkaz.
Chcete li se zbavit výhřezu obratlové plotýnky, ozvětze se mi. rád vám pomohu najít cestu k úlevě.
Léčba bolesti zad – MUDr. Štaffa | Vyšetření + plán terapie
Jaké existují jiné ověřené přístupy než jenom Spirální stabilizace:
[trustindex no-registration=google]
- Metoda McKenzie (MDT) – opakované pohyby a směřování disku → existuje literatura, že některé typy bolesti zad reagují dobře.
- DNS (dynamická neuromuskulární stabilizace) – zaměřuje se na stabilizaci jádra, neuromuskulární kontrolu, dýchání.
- PNF, Pilates, Iyengar jóga – doplňkové techniky, které využívají propriocepci, strečink, asymetrické zatížení.
Porovnáme-li to, SM systém má podobné prvky (aktivace stabilizátorů, práce s asymetrií), ale chybí robustní klinické studie, které by ho umístily vedle výše uvedených metod.
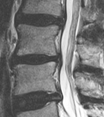
Biomechanika „zvedání ploténky“ v systému Spirální stabilizace— reálné síly vs. fantasie
Teoretické výpočty
- Aby meziobratlový prostor vzrostl i o 0,5 mm, musela by působit tahová síla v řádu desítek kilogramů (30–40 kg v ose páteře).
- Lidské svaly — zejména ta část, která by tah přenášela — nejsou uzpůsobeny k tomu, aby vyvinuly takovou sílu jemně a přesně, bez zapojení dalších struktur (fascií, kloubních segmentů).
- Ploténka není „volně visící“ entita — je fixována anuly, vazy, a její tvar a poloha je ovlivněna stlačením, hydratací, elastickými vlastnostmi jádra i anulu.
Co je spíš možné očekávat a co je reálné než tvrzení a názor:
- Mírná dekomprese segmentu prostřednictvím změny držení těla, snížení spasmu a změny svalového tonu (ale ne „zvednutí“ v doslovném smyslu).
- Redukce otoku a zánětlivé reakce disku či okolí, která může vést ke snížení objemu výhřezu – to lidé často vnímají jako „posun ploténky zpět“.
- Zlepšení rozložení tlaku v intervertebrálním prostoru díky korekci asymetrií a aktivaci hlubokých svalových vrstev.
Mezi fakty a legendami — co lze uznat
Fenomény | Co může stát | Co je přehnané / neprokázané |
---|---|---|
Pocit natažení, úleva | Úprava svalového tonu, lepší držení, mobilizace fascií | „Ploténka se zvedla“ v doslovném smyslu |
Zlepšení držení | Cvičení, propriocepce, aktivace svalů | Zázračné vyrovnání ihned po několika lekcích |
Ústup bolesti | Útlum zánětu, změna zatížení, psychický efekt |
Praktické důsledky pro pacienta při úvaze o použití Spirální stabilizace a pro lékaře v ordinaci, či terapeuta:
- Metodu SM lze využít jako doplňkovou techniku, ne jako primární léčbu disku.
- Uvedení jasných hranic pacienta — že to není „kouzelná pilulka“.
- Zaznamenávej data: výchozí bolest, rozsahy, subjektivní dojem, pokrok v měsíci. Pokud metoda nepřináší zlepšení, přechod na ověřené přístupy.
- U rizikových stavů (velké výhřezy, neurologie) – vždy kombinovat s vyšetřením, MR, konzultací s neurochirurgem / ortopedem.
Závěr
Spirální stabilizace páteře (metoda Dr. Smíška) není z principu určitě špatná, sám jsem jí 10 let aplikoval jako lékař přímo v Centru dr. Smíška v Praze a přednášel na mnoha jejich kurzech pro místní i zahraniční lektory, dokonce jsme byl vyslán minulý rok i do Číny do Chang-sha na 2 týdny vyučovat přístup ke skolióze a k vertebroviscerálním stavům — má své opodstatnění v biomechanice, v aktivaci svalů a práci s držení těla.
Ale je chybou uvěřit všemu, co slyšíme na semináři, anebo od terapeuta metody, trenéra nebo na skupinovém cvičení od cvičitele metody.
Tvrzení Spirální stabilizace o „zvedání ploténky“ je při dnešní úrovni znalostí spíš mýtus než potvrzený mechanismus.

Pokud chcete zjistit, co opravdu funguje právě pro vaši páteř — objednejte si konzultaci. Společně probereme vaše nálezy, stav, a navrhneme cestu, která nebude založená na marketingových frázích, ale na co nejrozumnějším nasazení metod.
→ Objednat konzultaci
Vědecké okénko: biomechanika tlaku v disku, „dekomprese“ a co z toho plyne
Nachemson (1966): Základní in-vivo data o zatížení plotének v různých polohách (lež, sed, předklon).
PubMed – Clin Orthop Relat Res 1966. PubMed
Nachemson (1981): Souhrn měření intradiskálního tlaku; ležení snižuje, sed bez opory zvyšuje zátěž oproti stoji.
PubMed – Spine 1981. PubMed
Wilke et al. (1999): Nová in-vivo měření intradiskálního tlaku během běžných činností (chůze, zvedání břemen).
PubMed – Spine 1999 • (volně dostupné PDF – Spine vydání) PDF. PubMed+1
Sato et al. (1999): Tlak v normálních vs. degenerovaných discích; vliv úhlu segmentu.
PubMed – Spine 1999. PubMed
Hodges & Richardson (1996): Opožděná/neudržitelná aktivace transversus abdominis u LBP – reálný mechanismus, jak cvičení mění rozložení sil (spíš než „zvedá ploténku“).
PubMed – Spine 1996. PubMed
Roman-Liu (2023, review): Přehled rozdílů intradiskálního tlaku napříč polohami a zátěžemi (open access).
Open-access – 2023.
Traction / „dekomprese“ – co víme a co ne:
- Cochrane review (2013): Pro samotnou trakci u LBP (se/bez ischiasu) chybí přesvědčivý klinický efekt; důkazy nízké kvality.
Open-access – Cochrane 2013. PMC - Chow et al. (2017): Horizontální trakce ~42 % tělesné hmotnosti → krátkodobé zvětšení výšky disku (hlavně posteriorně) na MRI; malá studie.
PubMed – Clin Biomech 2017. PubMed - Cheng et al. (2020, meta-analysis): Krátkodobě méně bolesti vs. sham/no-traction, bez důkazu zmenšení hernie; dlouhodobě nejasné.
PubMed – Medicine 2020. PubMed - Chung et al. (2015, MRI v reálném čase): MR vizualizuje okamžité tvarové změny disku během kontinuální trakce, klinický dopad však zůstává sporný.
PubMed – Radiology 2015. PubMed
A zde je velmi zajímavý článek na téma „běh“ a „vyhřezlá plotýnka“ a „posílení ploténky“:
Adaptace plotének pohybem (ne „taháním“):
- Belavý et al. (2017): Dlouhodobý běh → lepší hydratace, více proteoglykanů a mírná hypertrofie IVD (cross-sectional, nikoli RCT).
PubMed – Sci Rep 2017 • Nature full-text.
Závěrem lze říct toto:

Měřitelné zvětšení výšky disku se v malých studiích objevuje až při tahech ~40–60 % tělesné hmotnosti a je spíše krátkodobé; celkově však systematické přehledy nepotvrzují klinickou převahu trakce jako samostatné metody. Rozumný mechanismus úlevy je redistribuce sil přes lepší motorickou kontrolu (transversus, multifidi) a dávkovaný pohyb, ne „zvednutí ploténky“. PubMed+3PubMed+3
Chcete li se zbavit výhřezu obratlové plotýnky, ozvětze se mi. rád vám pomohu najít cestu k úlevě.
https://vladimirstaffa.cz/
MUDr. Vladimír Štaffa